Understanding molecular mechanisms of cellular senescence and skin aging

In addition, cellular senescence seems to work as a regulatory switch in mammalian development and to participate in the process of tissue remodeling that occur during embryogenesis and in wound repair.
Moreover, it has also been hypothesized that the progressive accumulation of senescent cells in some tissues may contribute to several age-related diseases and organismal aging.
Cellular senescence is defined as a state of irreversible growth arrest that can be induced by several intrinsic and extrinsic factors and is thought to be involved in different mechanisms. Along with apoptosis, senescence has been recognized primarily as an evolutionary conserved process involved in tumor suppression as it is able to counteract tumor progression by preventing preneoplastic cells from progressing in the cell cycle.



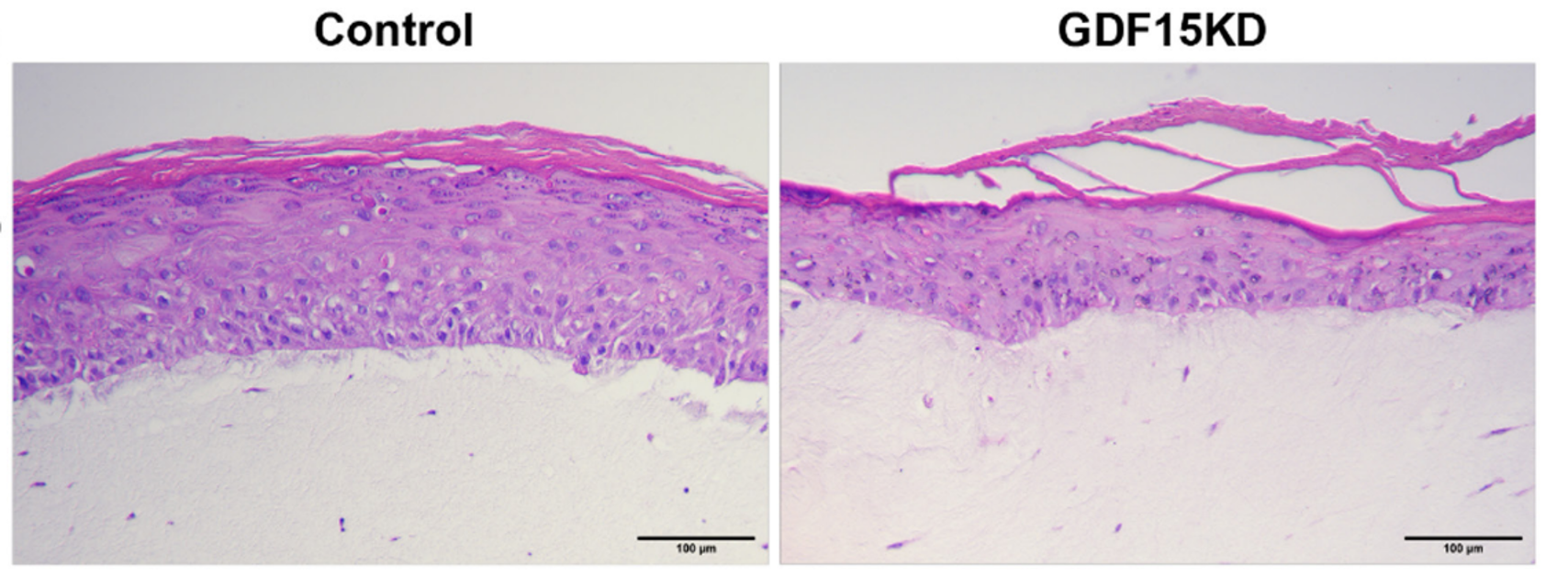
At the molecular level, cellular senescence is orchestrated by a complex network of signaling pathways, including the p53/p21 and p16INK4a/Rb pathways, which regulate the cell cycle and maintain the senescent state. Senescent cells also secrete a variety of pro-inflammatory cytokines, growth factors, and proteases, collectively known as the senescence-associated secretory phenotype (SASP). The SASP can alter the surrounding tissue environment, promoting chronic inflammation and further driving the aging process. Understanding these molecular mechanisms is critical for developing targeted interventions to mitigate the impact of senescent cells on skin aging.

Skin aging is influenced by both intrinsic factors, such as genetic predisposition and hormonal changes, and extrinsic factors, including UV radiation, pollution, and lifestyle choices. These factors can accelerate the accumulation of senescent cells in the skin and exacerbate the aging process. Our research is particularly focused on unraveling the role of cellular senescence in skin aging. We aim to elucidate how senescent cells contribute to the aging process in skin tissues and how their accumulation can be modulated to delay or reverse the signs of aging. By investigating the molecular drivers of cellular senescence and their impact on skin health, we hope to identify novel therapeutic strategies to preserve skin function and appearance, ultimately improving the quality of life as we age.
